L’Illusione della Semplicità: Post-Estrattivi Monoradicolati

Dr. Ernesto Bruschi · · 7 min di lettura
L’Illusione della Semplicità: Post-Estrattivi Monoradicolati

In breve — L’alveolo monoradicolato nasconde una complessità anatomica che esige il cambio dell’asse implantare. L’espansione apicale, guidata dalla fresa lanceolata modificata, consente di ottenere stabilità primaria nelle zone di densità ossea massima, preservando l’integrità della parete vestibolare e il profilo estetico.

Summary (EN) — Single-rooted alveoli conceal anatomical complexity requiring implant axis correction. Apical expansion, guided by the modified lanceolate bur, achieves primary stability in zones of maximum bone density while preserving buccal plate integrity and aesthetic emergence profile.

L’alveolo monoradicolato inganna. La sua apparente semplicità nasconde una complessità anatomica che può rendere meno semplice di quanto possa sembrare la sostituzione di questi denti con impianti. L’idea di sostituire un dente con un impianto nella medesima posizione è fuorviante, perché la posizione è solo in apparenza la stessa.

La radice del dente naturale occupa una posizione decisamente spostata verso il lato vestibolare, spesso con una curvatura anatomica. La parete ossea che la conteneva da quel lato è sottile, tipicamente meno di un millimetro in zona anteriore superiore. Talvolta, quella stessa parete è inesistente. Questa configurazione anatomica rappresenta una delle vere sfide dell’implantologia post-estrattiva, particolarmente critica nel settore estetico anteriore e nella regione premolare. Per comprendere meglio il destino di questa struttura dopo l’estrazione, è utile approfondire il concetto di osso alveolare proprio e le sue implicazioni cliniche.

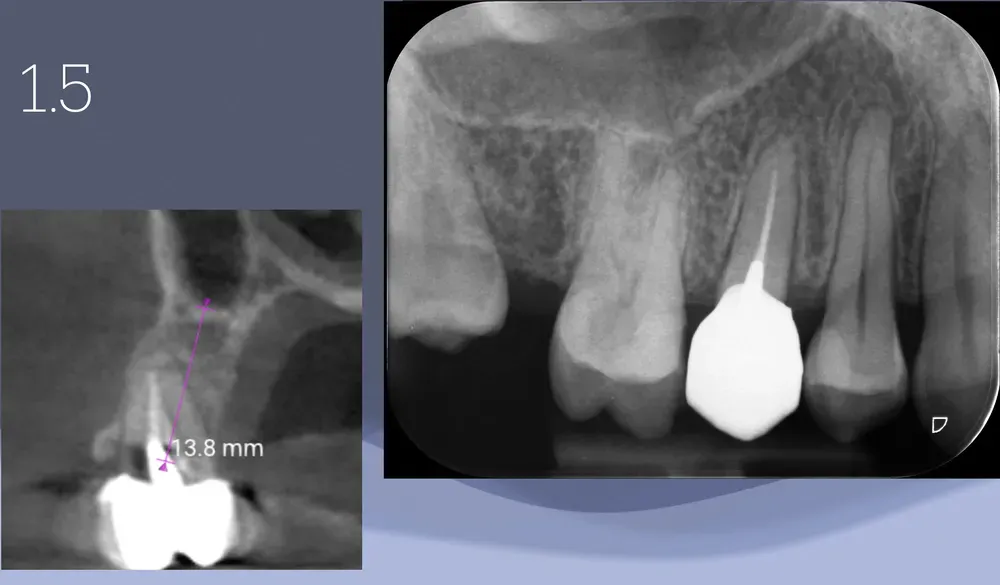
Illustrazione radiografica dell

Illustrazione radiografica dell’asse da correggere in un caso di premolare superiore con frattura radicolare.

Il Problema dell’Asse

Seguire l’alveolo esistente significa allontanare l’impianto dal centro della cresta ossea. Il risultato è prevedibile: frattura della sottile parete vestibolare durante l’inserimento, perdita del bundle bone per insufficiente spessore residuo, riassorbimento progressivo e compromissione estetica. E, in molti casi, fallimento. Il malposizionamento implantare comporta conseguenze biomeccaniche che si manifestano nel tempo.

La soluzione richiede di cambiare asse mantenendo il punto di emergenza coronale. Ma la preparazione del sito tende naturalmente a seguire il percorso di minor resistenza, che corrisponde esattamente alla direzione della radice estratta. Le frese seguono questa via. Gli strumenti rotanti cercano la zona più cedevole. È necessario forzare una direzione diversa, un asse corretto.

Espansione Apicale: alla ricerca della stabilità nella giusta direzione

La rigenerazione ossea parte dal profondo. La stabilità primaria si ottiene nelle zone di maggior densità. L’ancoraggio efficace richiede coinvolgimento delle strutture basali. Questi principi biologici e meccanici convergono in un concetto che definisco espansione apicale.

L’espansione apicale consiste nel dirigere l’impianto verso zone di sicurezza strutturale e massima densità ossea, diverse dall’asse dell’alveolo originale. Si cerca l’ancoraggio profondo negli archi anatomici del mascellare, quello che chiamo monocorticalismo apicale. L’obiettivo è ottenere stabilità primaria elevata dove serve realmente, nella porzione basale dell’osteotomia, permettendo alla porzione coronale di mantenere integrità della parete vestibolare attraverso un posizionamento più palatale o linguale.

Lo strumento fondamentale per iniziare questo percorso è la fresa lanceolata modificata.

Fresa lanceolata modificata bonebenders

Fresa lanceolata modificata Bonebenders

È il primo strumento, piccolo e sottile, ma indispensabile. Permette di correggere immediatamente l’asse dall’alveolo e di indirizzare la preparazione verso la zona di elezione apicale. La sua geometria concentrata sull’apice consente di attraversare la struttura senza sforzo e senza deviazioni passive. Si può definire autoguidante.

Uso della fresa lanceolata modificata durante intervento di carico immediato con verifica CBCT intraoperatoria

L’uso della fresa lanceolata modificata illustrato con sovrapposizione alla CBCT intraoperatoria necessaria per verificare la posizione di un espansore del kit Bonebenders di Kalodon durante un complesso intervento di carico immediato.

Il Protocollo Operativo

La sequenza richiede precisione, ma segue un’evoluzione naturale e dolce. Dopo la correzione d’asse con la fresa lanceolata, gli espansori preparano l’osteotomia attraverso condensazione progressiva dell’osso circostante. Possono essere utilizzati da soli in osso di densità adeguata, o in combinazione con frese a bassi giri nelle situazioni di maggiore densità corticale. Con gli espansori è possibile controllare costantemente la direzione della preparazione, correggendo eventuali deviazioni. Chi volesse approfondire le basi scientifiche dell’espansione ossea come tecnica quotidiana troverà ulteriori dettagli.

kit espansori bonebenders

Il Kit di espansori Bonebenders di Kalodon

Gli espansori permettono anche la valutazione diretta della stabilità durante la preparazione. Questo elemento diventa prezioso quando si considera il carico immediato, perché fornisce un feedback tattile progressivo sulla resistenza ossea.

Un aspetto che considero fondamentale nella tecnica con espansori è la possibilità di eseguire controlli radiografici intraoperatori. Radiografie periapicali o cone beam consentono di verificare con certezza la posizione degli strumenti e successivamente dell’impianto nella compagine ossea prima di procedere. Il controllo radiografico intraoperatorio permette correzioni immediate quando necessario.

La chirurgia computer-assistita, sia guidata che navigata, rappresenta sicuramente un valido supporto nella pianificazione e nell’esecuzione. Personalmente ritengo che il controllo intraoperatorio con imaging diretto rimanga intrinsecamente più preciso, permettendo adattamenti in tempo reale basati sulla realtà anatomica incontrata piuttosto che sulla pianificazione preoperatoria.

Evidenze e Considerazioni Cliniche

Gli studi sulla sopravvivenza degli impianti post-estrattivi mostrano tassi di successo elevati quando il posizionamento considera la tridimensionalità del sito. Le meta-analisi più recenti evidenziano come il posizionamento palatale o linguale rispetto all’asse della radice estratta si associ a minor riassorbimento vestibolare e migliori outcome estetici a lungo termine. La stabilità primaria rimane il predittore più affidabile del successo, indipendentemente dal protocollo di carico adottato.

La tecnica dell’espansione apicale risponde a questi principi. Cerca stabilità dove l’osso è denso. Preserva tessuto dove è sottile. Rispetta la biologia senza forzarla verso risultati impossibili.

L’alveolo monoradicolato continua a sembrare semplice. Ma conoscerne la complessità anatomica permette di affrontarlo con maggiore sicurezza. La semplicità vera è quella che deriva dalla comprensione, non dall’apparenza.

La foto finale del caso clinico di carico immediato rappresentato in sequenza nei paragrafi precedenti dimostra l’efficacia della tecnica di espansione apicale con il kit Bonebenders.

Questo caso, come tutti i miei casi di carico immediato singolo, sfrutta i principi del “Chamber Concept” di Marco Degidi.

Risultato finale impianto a carico immediato con conservazione profili emergenza tramite chamber concept

Immagine finale del caso di impianto a carico immediato rappresentato nell’articolo, con la conservazione totale dei profili di emergenza grazie alla tecnica con innesto eterologo e chamber concept di Degidi.


FAQ:

Qual è la vera complessità dell’alveolo monoradicolato in implantologia? La complessità dell’alveolo monoradicolato risiede nella sua anatomia, poiché la radice del dente occupa una posizione spostata verso il lato vestibolare, con possibili curvature e pareti ossee sottili o inesistenti, rendendo difficile e delicato il posizionamento implantare.

Perché seguire l’alveolo esistente può essere problematico durante l’implantologia? Seguire l’alveolo esistente può portare a fratture della parete vestibolare sottile, perdita del bundle bone, riassorbimento osseo e fallimento implantare, a causa del malposizionamento dell’impianto rispetto alla cresta ossea.

In cosa consiste il concetto di espansione apicale e quale suo scopo principale? L’espansione apicale mira a dirigere l’impianto verso zone di sicurezza ossea e densità elevata, ancorandolo profondamente negli archi anatomici, per garantire stabilità primaria e preservare l’integrità della parete vestibolare.

Qual è l’importanza della fresa lanceolata modificata nel processo di espansione ossea? La fresa lanceolata modificata è uno strumento fondamentale e autoguidante, che permette di correggere l’asse implantare dall’alveolo e di dirigere la preparazione verso le zone di massimo supporto osseo, attraversando la struttura senza deviazioni passive.

Come si integra la tecnica di espansione apicale nel protocollo operativo implantare? La tecnica prevede una sequenza di correzione dell’asse con la fresa lanceolata, seguita da espansori per la condensazione progressiva dell’osso circostante, permettendo di controllare la direzione e ottenere stabilità ottimale anche in osso di maggiore densità.

Domande frequenti

Qual è la vera complessità dell'alveolo monoradicolato in implantologia?
La complessità dell'alveolo monoradicolato risiede nella sua anatomia, poiché la radice del dente occupa una posizione spostata verso il lato vestibolare, con possibili curvature e pareti ossee sottili o inesistenti, rendendo difficile e delicato il posizionamento implantare.
Perché seguire l'alveolo esistente può essere problematico durante l'implantologia?
Seguire l'alveolo esistente può portare a fratture della parete vestibolare sottile, perdita del bundle bone, riassorbimento osseo e fallimento implantare, a causa del malposizionamento dell'impianto rispetto alla cresta ossea.
In cosa consiste il concetto di espansione apicale e quale suo scopo principale?
L'espansione apicale mira a dirigere l'impianto verso zone di sicurezza ossea e densità elevata, ancorandolo profondamente negli archi anatomici, per garantire stabilità primaria e preservare l'integrità della parete vestibolare.
Qual è l'importanza della fresa lanceolata modificata nel processo di espansione ossea?
La fresa lanceolata modificata è uno strumento fondamentale e autoguidante, che permette di correggere l'asse implantare dall'alveolo e di dirigere la preparazione verso le zone di massimo supporto osseo, attraversando la struttura senza deviazioni passive.
Come si integra la tecnica di espansione apicale nel protocollo operativo implantare?
La tecnica prevede una sequenza di correzione dell'asse con la fresa lanceolata, seguita da espansori per la condensazione progressiva dell'osso circostante, permettendo di controllare la direzione e ottenere stabilità ottimale anche in osso di maggiore densità.

Cerchi uno specialista?

Rigenerazione Ossea a Frosinone →

Il Metodo Bonebenders: espansione osteo-mucosa senza innesti

Hai bisogno di un parere?

Prenota una visita nello studio del Dr. Bruschi a Frosinone. Prima visita con diagnosi completa e piano di trattamento personalizzato.

Oppure scrivici dal form contatti →

Stai valutando un impianto dentale?

Ho scritto una guida in 8 capitoli che spiega tutto quello che un paziente dovrebbe sapere prima di sedersi in poltrona. Niente marketing — solo fatti, casi studio e una checklist per fare le domande giuste.

Scarica la guida
Condividi:

Resta aggiornato

Nuovi articoli su parodontologia, implantologia e chirurgia orale — nella tua casella email.

Commenti

Caricamento commenti...

Lascia un commento

I commenti sono moderati prima della pubblicazione.