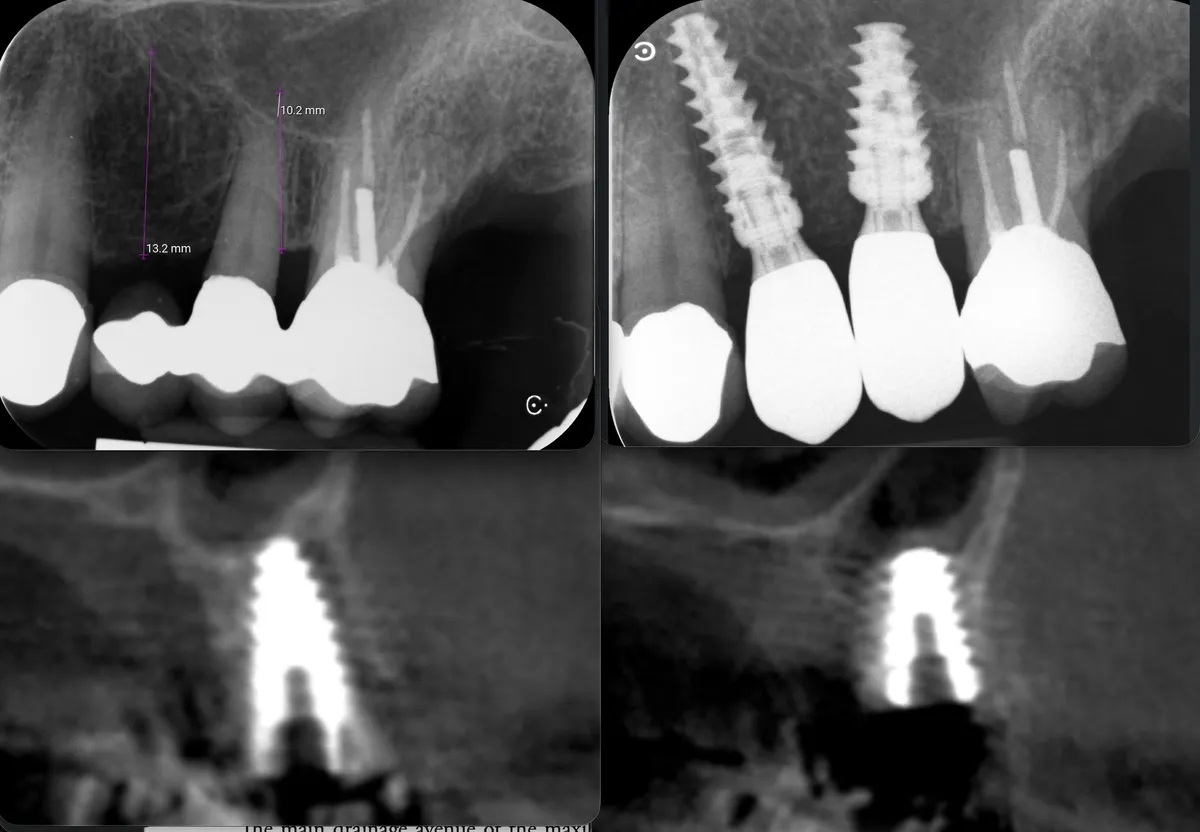
Espansione ERE e impianto immediato: un premolare in una seduta
Caso clinico: espansione crestale ERE con impianto immediato e rigenerazione simultanea. Da ponte fallito a impianto in un'unica seduta.
Il blog del Dr. Ernesto Bruschi — parodontologo, implantologo e chirurgo orale a Frosinone. Rigenerazione ossea, espansione crestale, chirurgia parodontale: casi clinici, protocolli evidence-based e strumenti gratuiti per pazienti e colleghi.
"Rare sono le persone che usano la mente, poche coloro che usano il cuore, uniche coloro che le usano entrambi." — Rita Levi Montalcini
Ho imparato a operare guardando le mani di mio padre, il prof. Giovanni Battista Bruschi. Poi sono andato a Göteborg, alla scuola di Jan Lindhe e Jan Wennström, dove la parodontologia aveva un solo linguaggio: i dati. Ma erano bravissimi anche con le mani. Negli Stati Uniti, Ronald Odrich e Frank Celenza Jr. mi hanno insegnato che la precisione chirurgica è un atto di rispetto verso il paziente, e anche verso noi stessi. La dignità della nostra professione è una cosa seria, irrinunciabile.
Trent'anni dopo, faccio ancora la stessa cosa. Opero. Studio. Cerco di capire perché un osso guarisce in un modo e non in un altro. Accanto a mio padre ho sviluppato tecniche di rigenerazione che oggi insegno e pratico ogni giorno nello Studio Denti Più, a Frosinone.
Dietro ogni sorriso c'è la storia di una persona. Dietro ogni difetto osseo, una biologia che non si ripete. Non esiste un protocollo buono per tutti. Esiste l'attenzione verso il prossimo.
Formazione internazionale
Scuola di Parodontologia dell'Università di Göteborg (Jan Lindhe, Jan Wennström). New York University — Ronald Odrich, Frank Celenza Jr.
Ricerca peer-reviewed
10+ pubblicazioni su riviste indicizzate PubMed. ORCID 0000-0002-4773-5384
Pratica clinica
30+ anni di chirurgia parodontale, implantare e rigenerativa. Studio Denti Più, Corso Lazio 17, Frosinone.
Tecnica Bruschi-Scipioni
Figlio e collaboratore del prof. G.B. Bruschi, co-autore della tecnica di espansione crestale ERE (1994). Leggi il pillar
Visibilità AI — Italia
Panel di ~100 prompt/giorno in parodontologia, implantologia e chirurgia orale, testati su Perplexity e ChatGPT. Citation rate = % di risposte che linkano bonebenders.com. Dati raccolti da AirOps (piattaforma terza indipendente), aggiornati automaticamente ogni settimana. Ultimo aggiornamento: 2026-05-04.
Ogni difetto osseo o gengivale è unico. Ogni tessuto risponde diversamente. La rigenerazione su misura parte dall'analisi del caso clinico, non da un protocollo precotto e unico per tutti. È la differenza tra applicare una tecnica e comprendere la biologia.
Esplora il BlogDiagnosi e terapia della malattia parodontale. Rigenerazione dei tessuti perduti.
Impianti dentali, carico immediato, rigenerazione ossea per casi complessi.
Espansione di cresta, rialzo del seno mascellare, estrazioni complesse.
Studio Denti Più, Corso Lazio 17. Primo appuntamento e informazioni.
Articoli lunghi, con referenze peer-reviewed, su ciascuna delle aree in cui opero. Il punto di partenza per capire davvero una tecnica.
Espansione crestale: la tecnica Bruschi-Scipioni
Implantologia rigenerativa — ERE, bonebending, evidenze a lungo termine
Parodontologia
Diagnosi, terapia causale, chirurgia rigenerativa, classificazione 2017
Implantologia
Impianti dentali, carico immediato, GBR, rialzo del seno mascellare
Chirurgia orale rigenerativa
Espansione di cresta, split crest, biomateriali, estrazioni complesse
Caso clinico: espansione crestale ERE con impianto immediato e rigenerazione simultanea. Da ponte fallito a impianto in un'unica seduta.
Al-Zahrawi (Albucasis), Cordoba, X secolo. Nel Kitab al-Tasrif disegna 14 strumenti per rimuovere il tartaro. Nasce così lo scaler parodontale.
Guida pratica per scegliere un implantologo: credenziali, volume operatorio, domande da fare e segnali d'allarme. Con evidenze scientifiche.
Guida pratica per scegliere un parodontologo: quando serve, cosa chiedere, come riconoscere un professionista competente. Con evidenze.
Caso clinico LMSF graftless: due impianti a 1.6/1.5 con espansori a vite calibrati. Gestione localizzata del seno mascellare, senza innesto.
Brånemark studiava i conigli. Nel 1952 una vite di titanio non si svitò. Da quel momento l'implantologia non fu più la stessa. La storia della scoperta.
Se cerchi un chirurgo per il tuo caso, o vuoi semplicemente capire meglio un trattamento, scrivimi. Rispondo personalmente.
Scrivimi su WhatsAppIl confronto clinico tra professionisti si è spostato dove la gente già passa le giornate. Ci trovi su WhatsApp nel gruppo Bonebenders Solo Espansione per il quotidiano, e su Facebook in Passione Clinica ed Extraclinica per l'archivio. Niente pubblicità, solo clinica.
Nuovi articoli su parodontologia, implantologia e chirurgia orale — nella tua casella email.
Risposte generate da AI. Non sostituiscono un consulto medico.