Un impianto immediato è (quasi) sempre la soluzione migliore

Dr. Ernesto Bruschi · · 6 min di lettura
Un impianto immediato è (quasi) sempre la soluzione migliore

In breve — L’impianto immediato è quasi sempre la soluzione migliore per sostituire un dente estratto indipendentemente dal difetto osseo. L’unica vera controindicazione è l’infezione acuta. I difetti alveolari, incluse perdite di parete buccale e seni mascellari areati, possono essere corretti durante l’inserimento dell’impianto con stabilità primaria eccellente.

Summary (EN) — Immediate implant placement is nearly always the best solution for replacing an extracted tooth regardless of bone defect. The only true contraindication is acute infection. Alveolar defects, including buccal plate loss and pneumatized sinuses, can be corrected during implant insertion with excellent primary stability.

La filosofia: competenza e coraggio

I chirurghi orali e i parodontologi che eseguono impianti devono essere attenti, ma devono anche essere competenti.

Alla fine, devi essere te stesso.

Io sono me stesso quando offro ai miei pazienti il miglior trattamento possibile, in sicurezza.

Sono me stesso quando non seguo le tendenze comuni.

Sono me stesso se il mio trattamento è in linea con le aspettative del paziente ed è anche il più rapido e minimamente invasivo possibile.

Credo fermamente che un impianto immediato sia sempre la soluzione migliore quando un dente non è trattabile.

L’unica vera controindicazione è l’infezione acuta.

Nella stragrande maggioranza dei casi, i difetti ossei alveolari di qualsiasi tipo, compresi i difetti buccali dovuti a infezione e i seni mascellari molto areati che necessitano di sollevamento, possono essere corretti con successo durante l’inserimento dell’impianto.

Posso affermarlo con certezza, poiché ho trattato con successo centinaia di casi con questo protocollo.

La stragrande maggioranza di questi casi è stata ripristinata immediatamente con una protesi provvisoria per preservare l’estetica del paziente. In alcuni casi, è necessario lasciare che l’impianto o gli impianti guariscano per un breve periodo prima di caricarli. La stabilità dell’impianto è fondamentale per decidere se caricare un impianto immediatamente o meno. A questo proposito, il design stesso dell’impianto è molto importante.

Il caso clinico: premolari inferiori con difetto buccale

Viene qui presentato un caso tipico. I due premolari inferiori destri di questo paziente ASA 1, di 60 anni, presentavano ascessi ricorrenti. Ho discusso le possibili opzioni di trattamento con il paziente e abbiamo deciso insieme di procedere con l’estrazione, impianti immediati e protesi provvisorie.

Il primo premolare aveva perso totalmente la parete ossea buccale, come evidenziato dalla sezione della CBCT qui sotto.

Per ottenere una sufficiente stabilità primaria in un caso del genere, è essenziale impegnare con l’apice dell’impianto l’osso basale sano e stabile, al di sotto della lesione. Se l’impianto è opportunamente progettato, la porzione apicale sarà in grado di garantire la necessaria stabilità del sistema durante tutta la fase di osteointegrazione, ottenendo nel contempo l’ossointegrazione da contatto sulle spire già impegnate nell’osso basale e, nel tempo, anche l’osteointegrazione a distanza nelle zone inizialmente prive di osteoni.

Naturalmente, i difetti ossei devono essere innestati con biomateriale osteoconduttivo (o, in alternativa, anche osso autologo prelevato dallo stesso paziente) per ridurre la perdita di volume tissutale e ricreare la struttura del processo alveolare persa nel medio-lungo termine.

In questo caso, la stabilità primaria di entrambi gli impianti è stata eccellente, consentendo il posizionamento di una protesi provvisoria immediata. Utilizzando un approccio flapless “through-the-socket”, ho innestato il difetto buccale con un semplice xenoinnesto di osso eterologo. Questo è semplicemente il modo migliore per innestare: niente lembi se possibile.

Come conseguenza di questo approccio minimamente invasivo, i pazienti solitamente avvertono pochissimo disagio. Questo paziente, ad esempio, ha assunto i 2 grammi di amoxicillina (che sono sempre necessari per l’intervento di implantologia) due ore prima dell’appuntamento e solo 1 g di paracetamolo dopo l’intervento.

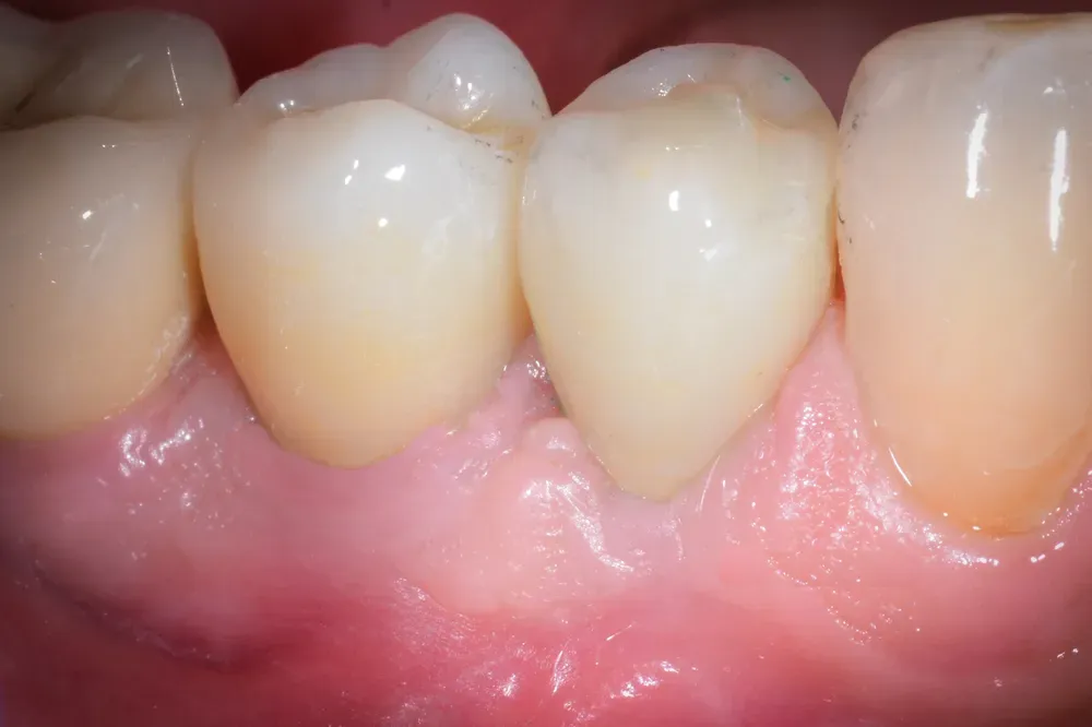
L’immagine sottostante mostra i tessuti perimplantari prima della scansione finale (con scanner intraorale) per realizzare le corone in ceramica.

CBCT (Cone Beam CT) pre-operatoria che mostra le estese lesioni ossee dei due premolari inferiori di destra e il ponte su impianti che avevo inserito dieci anni prima.

I volumi dei tessuti sono ben conservati anche buccalmente al primo premolare, dove l’osso alveolare sull’aspetto buccale era totalmente assente al momento dell’estrazione e del posizionamento dell’impianto.

Questo potrebbe andare contro molte regole, ma le regole sono fatte per essere infrante. E personalmente, non mi interessa se sto infrangendo le regole.

Lasciatemi enfatizzare nuovamente che l’impianto migliore è un impianto immediato, il che è possibile nella maggior parte dei casi.

Perdita totale della parete ossea buccale del primo premolare (sezione di CBCT).

Il risultato finale

I contorni delle corone in ceramica finali sono naturali e le dimensioni della mucosa cheratinizzata sono preservate in modo ottimale, a beneficio della salute a lungo termine degli impianti.

Tessuti peri-implantari dopo 2 mesi di guarigione prima della scansione finale per le corone in ceramica.

La radiografia periapicale finale mostra il perfetto successo degli impianti e dell’innesto. Notare come il granuloma apicale del secondo premolare sia guarito perfettamente all’apice dell’impianto. Il granuloma non è stato rimosso. Infatti, nessun tessuto di granulazione deve mai essere rimosso (se non in presenza di purulenza e detriti non altrimenti rimovibili). È un retaggio di epoche lontane e di una visione “meccanicistica” della chirurgia orale ed è privo di fondamento scientifico.

Domande frequenti

L’impianto immediato può essere inserito anche con difetti ossei buccali severi? Sì. Purché l’apice dell’impianto sia impegnato nell’osso basale sano e stabile sottostante la lesione, si raggiunge stabilità primaria eccellente. Il difetto buccale viene innestato con biomateriale osteoconduttivo per ridurre la perdita di volume nel medio-lungo termine.

Come si preserva il volume tissutale nei difetti buccali estesi? Utilizzando un approccio “through-the-socket” flapless (senza scollamento di lembi) e innestando il difetto con xenoinnesto di osso eterologo direttamente in alveolo. Questo approccio minimamente invasivo preserva la vascolarizzazione e produce risultati estetici superiori.

Quando è indicato il carico immediato vs il carico differito? La stabilità primaria dell’impianto è cruciale. Se eccellente (>32 Ncm di coppia), il carico immediato è possibile. Altrimenti, si attende un breve periodo di guarigione (2-4 settimane) prima di proseguire. La stabilità iniziale dipende dal design dell’impianto e dalla qualità ossea.

Qual è il vantaggio psicologico dell’impianto immediato rispetto al carico differito? Il paziente esce dalla seduta unica con l’impianto già inserito. Questo differisce radicalmente dall’approccio differito dove il paziente deve aspettare mesi per l’impianto. Psicologicamente, avere una soluzione “compiuta” nel giorno dell’intervento cambia la percezione del valore terapeutico.

Domande frequenti

L'impianto immediato può essere inserito anche con difetti ossei buccali severi?
Sì. Purché l'apice dell'impianto sia impegnato nell'osso basale sano e stabile sottostante la lesione, si raggiunge stabilità primaria eccellente. Il difetto buccale viene innestato con biomateriale osteoconduttivo per ridurre la perdita di volume nel medio-lungo termine.
Come si preserva il volume tissutale nei difetti buccali estesi?
Utilizzando un approccio "through-the-socket" flapless (senza scollamento di lembi) e innestando il difetto con xenoinnesto di osso eterologo direttamente in alveolo. Questo approccio minimamente invasivo preserva la vascolarizzazione e produce risultati estetici superiori.
Quando è indicato il carico immediato vs il carico differito?
La stabilità primaria dell'impianto è cruciale. Se eccellente (>32 Ncm di coppia), il carico immediato è possibile. Altrimenti, si attende un breve periodo di guarigione (2-4 settimane) prima di proseguire. La stabilità iniziale dipende dal design dell'impianto e dalla qualità ossea.
Qual è il vantaggio psicologico dell'impianto immediato rispetto al carico differito?
Il paziente esce dalla seduta unica con l'impianto già inserito. Questo differisce radicalmente dall'approccio differito dove il paziente deve aspettare mesi per l'impianto. Psicologicamente, avere una soluzione "compiuta" nel giorno dell'intervento cambia la percezione del valore terapeutico.

Cerchi uno specialista?

Implantologia a Frosinone →

Impianti dentali, carico immediato e rigenerazione ossea

Hai bisogno di un parere?

Prenota una visita nello studio del Dr. Bruschi a Frosinone. Prima visita con diagnosi completa e piano di trattamento personalizzato.

Oppure scrivici dal form contatti →

Stai valutando un impianto dentale?

Ho scritto una guida in 8 capitoli che spiega tutto quello che un paziente dovrebbe sapere prima di sedersi in poltrona. Niente marketing — solo fatti, casi studio e una checklist per fare le domande giuste.

Scarica la guida
Condividi:

Resta aggiornato

Nuovi articoli su parodontologia, implantologia e chirurgia orale — nella tua casella email.

Commenti

Caricamento commenti...

Lascia un commento

I commenti sono moderati prima della pubblicazione.