L’espansione è magica. Rigenera secondo natura.
In breve — L’espansione osteo-mucosa rigenerativa avviene senza innesti e senza suture. Il processo biologico guida la rigenerazione di osso e mucosa cheratinizzata contemporaneamente. Risultati stabili a distanza di anni dimostrano che questa non è tecnica di ripiego ma strategia d’elezione per l’atrofia complessa.
Summary (EN) — Regenerative osteo-mucosal expansion occurs without grafts and without sutures. Biological process guides simultaneous bone and keratinized mucosa regeneration. Stable long-term results prove this is not a fallback technique but preferred strategy for complex atrophy.
Presento un caso, come tanti eseguiti tutti i giorni, che dimostra la potenza dell’espansione osteo-mucosa e della guarigione per seconda intenzione per ottenere una rigenerazione totale.
E c’è ancora che dice, dall’alto del suo ego, che “la split crest” non funziona, parlando a nuora perché suocera intenda e condendo il tutto con un risatina sarcastica.
Caro tu che ti riconosci in questo personaggio, sappi che non funziona nelle tue mani, che probabilmente sono comandate entrambe dall’emisfero destro del tuo encefalo (e non sei mancino).
L’umiltà di coloro che sono sempre pronti a nuove conoscenze
Per imparare qualcosa è necessario “sapere di non sapere” (cit.). Al contrario, se sei convinto di sapere già tutto, non potrai mai imparare qualcosa di diverso. Alla fine, ci rimetti tu.
La verità, dimostrata da centinaia di articoli scientifici, revisioni della letturatura, e migliaia di casi documentati - da Hilt Tatum in avanti - è che l’espansione ossea e la guarigione per seconda intenzione non solo sono affidabili e funzionano, ma ottengono dei risultati rigenerativi eccezionali anche in assenza di materiali da innesto.
La questione dei materiali da innesto
Ovviamente, tale ultima caratteristica è mal digerita da coloro che vendono i materiali succitati, poiché essa influisce negativamente sulle loro vendite. Anche i colleghi Bonebenders, certamente usano biomateriali e anche innesti autologhi, ma meno frequentemente.
Il caso clinico di Francesco
Nel caso seguente, ho utilizzato l’approccio dell’espansione osteo-mucosa per rigenerare la forma dell’arcata dentale in toto, non solo in una zona limitata. In realtà, la tecnica è sovrapponibile, ma il risultato è ancora più sorprendente.
Si tratta del caso di Francesco, la cui storia personale ho già raccontato in questo post.
L’immagine sopra è la situazione iniziale di Francesco nell’arcata mascellare, dopo la rimozione di un vecchio ponte e di elementi dentali fratturati.
La prognosi dei denti residui era anche infausta a medio termine. Tuttavia ho preferito, dopo aver discusso tutte le possibili opzioni terapeutiche con il paziente, mantenere temporaneamente questi elementi dentali residui allo scopo di sostenere un ponte provvisorio fisso per ricostruire l’arcata dentale superiore mentre procedevo agli interventi rigenerativi con espansione e inserimento di impianti in titanio.
La tempistica operatoria
Gli interventi sono stati eseguiti in due tempi: zona anteriore superiore, zona posteriore superiore.

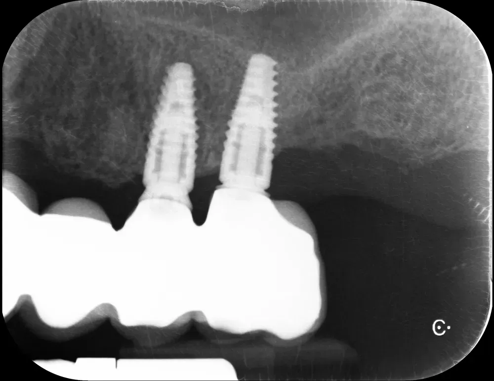
L’immagine mostra l’espansione osteo-mucosa con l’inserimento di due impianti nella pre-maxilla, in posizione 1.2 e 2.2.
Lo spazio lasciato vuoto guarirà con formazione di nuovo osso e mucosa cheratinizzata.
La classificazione di Colonia (CCARD)
Le immagini sottostanti illustrano la situazione ossea pre-operatoria della cresta alveolare, con una grave atrofia orizzontale, corrispondente alla categoria H3 della Classificazione di Colonia (CCARD).
Secondo la BDIZ EDI, tale grado di atrofia controindica le tecniche espansive.
Personalmente, tuttavia, ritengo che con gli strumenti moderni sia possibile e consigliabile spingersi oltre per includere anche tale livello di atrofia tra le indicazioni. E questo caso lo dimostra.
Ho eseguito questo intervento in anestesia locale e dopo due settimane ho trattato la zona posteriore.
Di seguito potete vedere le foto intra-operatorie posteriori di destra e di sinistra:





Il mascellare superiore destro era affetto da atrofia categoria S3 CCARD in posizione 16 e S2 CCARD in posizione 14 (precedentemente estratto), con presenza di cisti da ritenzione mucosa e setto di Underwood.
Inserimento impianti con rialzo del seno e aspirazione cisti da ritenzione mucosa del seno mascellare
Ho inserito due impianti, in posizione appunto 16 e 14, con minirialzo del seno mascellare e aspirazione della cisti da ritenzione mucosa tramite accesso laterale.
Sul lato sinistro, l’atrofia dopo la rimozione dei denti e la rigenerazione era comunque meno grave e rientrava nell’ambito delle categorie S1-S2 CCARD. La prossima immagine è la CBCT della zona mascellare sinistra prima delle estrazioni.
La vita relazionale nel corso della terapia chirurgica rigenerativa
Durante tutte le fasi di guarigione, Francesco ha svolto una vita relazionale e funzionale normale grazie alla protesi provvisoria fissa ancorata ai denti residui, che gli ha permesso di mantenere un aspetto estetico soddisfacente e di affrontare con sicurezza le interazioni quotidiane.
Infatti, la sua capacità di parlare e mangiare senza difficoltà è stata fondamentale per il suo benessere psicologico e sociale.
Alla fine del percorso chirurgico, dopo l’integrazione ossea degli impianti, ho estratto i denti residui (perché non conservabili a lungo termine) e ho caricato gli impianti con una seconda protesi provvisoria fissa, che ha continuato a offrire supporto e funzionalità.
Questa fase intermedia è stata cruciale per garantire la stabilità necessaria, mentre i tessuti molli si adattavano alla nuova situazione.
La fase finale
Successivamente, la protesi provvisoria è stata sostituita dal ponte in ceramica, fornendo un risultato finale estetico e duraturo, che ha migliorato ulteriormente la qualità della vita di Francesco.
Il confronto tra le immagini cliniche prima e dopo il trattamento (vedi sotto) è impressionante e non lascia spazio a dubbi sull’efficacia delle tecniche di espansione osteo-mucosa.
L’aumento delle dimensioni effetto della rigenerazione
Le due immagini sembrano appartenere a due persone diverse: la dimensione trasversale e la cresta alveolare anteriore sono entrambe notevolmente aumentate, suggerendo una significativa variazione anatomica.
Inoltre, è impressionante notare che tutto questo aumento è stato ottenuto senza alcun tipo di innesto, il che sottolinea la capacità naturale del corpo di modificarsi e crescere in risposta agli stimoli chirurgici della guarigione per seconda intenzione.
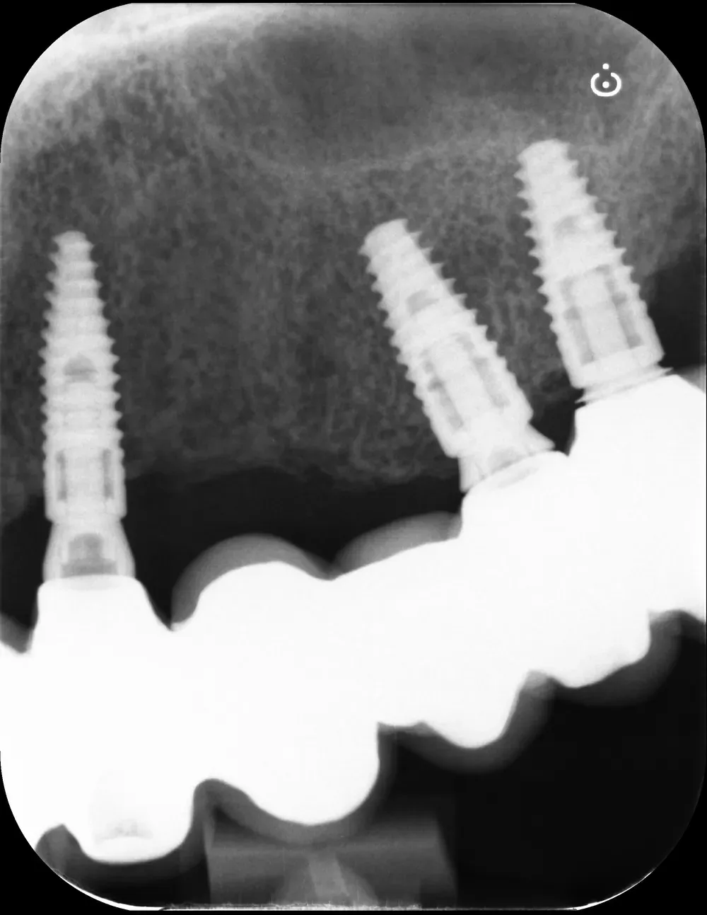
Il controllo a distanza di anni
Al controllo radiografico, sette anni più tardi, gli impianti sono in ottima salute e perfettamente integrati (vedi immagini seguenti).
Francesco viene regolarmente ai controlli, in particolare per le sedute di igiene professionale.


I fatti dimostrati da questo caso emblematico
Questo caso dimostra diverse cose, tra le quali:
- Le tecniche di espansione osteo-mucosa sono efficaci e affidabili.
- I casi atrofici possono essere affrontati anche in modo diverso dal classico carico immediato, con un approccio più progressivo.
- La rigenerazione è un’alternativa molto valida alle tecniche demolitive.
Hai dubbi o curiosità su questo trattamento o altri argomenti del mio blog? Contattami.
Sommario:
- L’umiltà di coloro che sono sempre pronti a nuove conoscenze
- La questione dei materiali da innesto
- Il caso clinico di Francesco
- La tempistica operatoria
- La classificazione di Colonia (CCARD)
- Inserimento impianti con rialzo del seno e aspirazione cisti da ritenzione mucosa del seno mascellare
- La vita relazionale nel corso della terapia chirurgica rigenerativa
- La fase finale
- L’aumento delle dimensioni effetto della rigenerazione
- Il controllo a distanza di anni
- I fatti dimostrati da questo caso emblematico

→ La tecnica alla base di questo caso: Espansione crestale — come funziona e quando si usa
Cerchi uno specialista?
Implantologia a Frosinone →Impianti dentali, carico immediato e rigenerazione ossea
Hai bisogno di un parere?
Prenota una visita nello studio del Dr. Bruschi a Frosinone. Prima visita con diagnosi completa e piano di trattamento personalizzato.
Stai valutando un impianto dentale?
Ho scritto una guida in 8 capitoli che spiega tutto quello che un paziente dovrebbe sapere prima di sedersi in poltrona. Niente marketing — solo fatti, casi studio e una checklist per fare le domande giuste.
Scarica la guidaResta aggiornato
Nuovi articoli su parodontologia, implantologia e chirurgia orale — nella tua casella email.
Commenti
Caricamento commenti...
Lascia un commento