Stabilità di un altro pianeta: minirialzo e carico immediato

Dr. Ernesto Bruschi · · 7 min di lettura
Stabilità di un altro pianeta: minirialzo e carico immediato

In breve — Il minirialzo crestale con espansori consente carico immediato anche in osso scarso. L’espansione apicale garantisce stabilità >50 Ncm tramite ingaggio della corticale del seno. Risultati prevedibili e provvisorio subito.

Summary (EN) — Crestal sinus lift with expanders enables immediate loading even in poor bone. Apical expansion provides stability >50 Ncm through sinus floor cortical engagement. Predictable results with immediate provisionals.

Dopo un lungo periodo dominato dal timore della compressione ossea (che pure dev’essere giusta e non esagerata), i produttori di impianti si stanno orientando verso forme con spire maggiormente aggressive, come richiesto dalle necessità del carico immediato. La stabilità è, infatti, indispensabile per permettere di montare immediatamente degli elementi provvisori sugli impianti.

In questo articolo illustro un caso esemplificativo di carico immediato su rialzo crestale del seno mascellare (https://pubmed.ncbi.nlm.nih.gov/9581408/), procedura che ormai utilizzo quotidianamente quando concorrono le giuste condizioni cliniche e chirurgiche.

La possibilità del carico immediato è molto comoda in zona estetica: fino al secondo premolare.

Un Caso Esemplificativo

Si tratta del caso di un simpatico paziente ASA 1, classe 1951. È un fumatore e non ha intenzione di smettere. Ama mangiare di gusto con familiari e amici, e non rinuncia a sorridere. Insomma, la sua socialità è attiva e coinvolgente.

Si presenta con una dolenzia nel secondo quadrante. All’esame clinico e radiografico, riscontro una carie radicolare e una tasca parodontale con ascesso acuto dell’elemento di ponte 2.5. In base alla conformazione del difetto e soprattutto per la profondità della carie, lo classifico come “non trattabile” e procedo alla pianificazione di un trattamento con inserimento di impianti in zona 2.4 e 2.5, previo taglio del ponte tra 2.5 e 2.6 per conservare l’elemento 2.6 come corona singola.

Radiografia dentale periapicale preoperatoria di un elemento di ponte con carie profonda tasca parodontale e ascesso acuto non trattabile.

Radiografia periapicale preoperatoria con l’elemento di ponte 2.5 affetto da carie profonda e tasca parodontale con ascesso acuto non trattabile.

La CBCT dimostra l’anatomia atrofica della zona, con la vicinanza del pavimento del seno mascellare e la significativa perdita di sostanza palatale dovuta all’infezione parodontale.

CBCT di elemento dentario 2.5 affetto da carie e tasca parodontale acuta

CBCT dell’elemento 2.5 con evidenza della vicinanza del seno mascellare e della distruzione del parodonto, soprattutto sul versante palatino.

La Procedura

Dopo aver trasformato il ponte in corona singola sul 2.6, e dopo l’estrazione del 2.5, ho preparato i siti con la fresa lanceolata modificata e con la sequenza di espansori. Sul sito 2.4 ho utilizzato anche la fresa pilota da 2.2mm.

Con gli espansori da 13mm in posizione ho effettuato un controllo radiografico della posizione, prima di procedere ulteriormente.

Strumenti espansori da 13mm in posizione

Strumenti espansori da 13mm in posizione

La CBCT intraoperatoria ha confermato la corretta posizione tridimensionale degli espansori e il raggiungimento della corticale del pavimento del seno in zona 2.5. In caso di dubbi sulla posizione e nel corso di interventi delicati come questo, questo ausilio strumentale è di fondamentale importanza. Ma non è sempre necessaria. L’esposizione, per quanto contenuta, dev’essere sempre ridotta al minimo, compatibilmente con la sicurezza chirurgica.

Visione laterale espansori

Sezione espansore sito 2.4

Immagine in bianco e nero che mostra un impianto dentale in una cavità orale.

Sezione espansore sito 2.5

A questo punto, mentre continuavamo a scherzare con il paziente, che è rimasto sempre sereno durante tutto il corso dell’intervento, ho finalizzato con l’inserimento degli impianti nella posizione finale.

C’è una bella differenza tra le tecniche percussorie (con martelletto o altro) e gli espansori, dal punto di vista esperienziale del paziente.

Immagine in bianco e nero che mostra un oggetto di forma cilindrica e curvilinea in un contesto di laboratorio.

CBCT Post-op: Impianto in posizione 2.4 infracrestale che ha raggiunto la posizione di ingaggio corticale corretta

Espansore in posizione 2.5 con sollevamento della corticale del pavimento del seno

CBCT Post-op: Impianto in posizione 2.5 infracrestale con sollevamento della corticale del pavimento del seno

A questo punto, avevo già saggiato la buona resistenza dell’osso mascellare preparato con gli espansori, nonostante la densità molto scarsa e corrispondente alla C2 di Wang.

La Stabilità Origina dall‘“Espansione Apicale

Sapevo di poter contare sulla stabilizzazione finale garantita dal concetto di espansione apicale e dall’ingaggio della corticale del seno mascellare.

Il segreto (“shhhhh!!!”) è proprio questo. È il concetto di “espansione apicale”. La punta dell’impianto trova la stabilità grazie alla tecnica con espansori nell’osso apicale, preferibilmente corticale. È una garanzia alla quale non rinuncio.

Mi ricordo un collega che voleva essere operato da me, ma mi voleva imporre (a causa di uno strano paradigma che circola nel nostro ambiente) una lunghezza non superiore ai 10mm per gli impianti. Mi sono rifiutato di operarlo in quanto l’osso più superficiale era mal rigenerato e di scarsa qualità. Era indispensabile raggiungere l’osso apicale con gli espansori per avere una stabilità sufficiente e una garanzia di tenuta del sistema biomeccanico.

Ma non ha capito. Evidentemente mi sono spiegato male. Peccato per lui.

La Finalizzazione con Provvisorio a Carico Immediato

La foto che segue mostra gli impianti in posizione prima della connessione dei monconi protesici (sempre conici). La stabilità di entrambi era superiore ai 50Ncm.

Immagine occlusale immediatamente dopo l

Immagine occlusale immediatamente dopo l’inserimento degli impianti

Di seguito, le radiografie periapicali mostrano gli impianti appena inseriti e gli abutment con i provvisori.

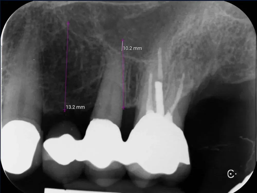
Rx Periapicale Post-op

Rx Periapicale Post-op

Rx Periapicale con abutment e provvisori

Rx Periapicale con abutment e provvisori

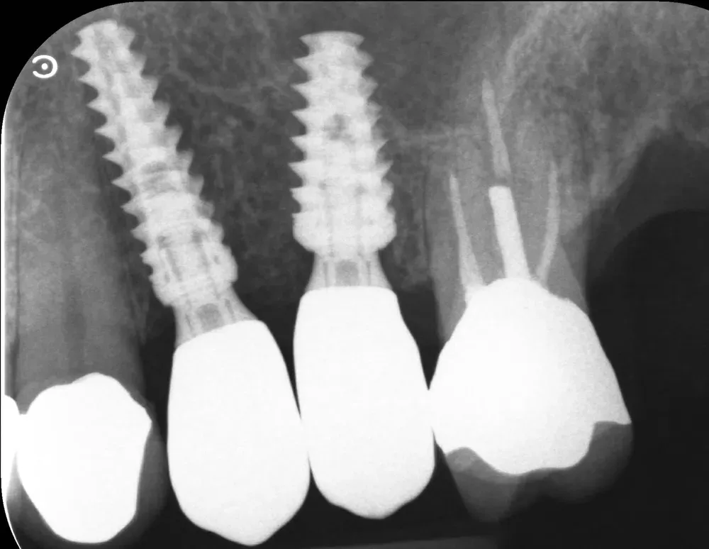
Passati tre mesi, abbiamo effettuato una scansione per realizzare le corone in zirconia. L’ultima radiografia è stata scattata il giorno della consegna delle corone.

L’aumento della densità ossea intorno all’apice dell’impianto in posizione 2.5 è evidente, particolarmente in zona mesiale. In quella zona, la corticale del seno si è sollevata maggiormente.


Rx periapicale alla consegna delle corone in zirconia

Rx periapicale alla consegna delle corone in zirconia

In definitiva, quando concorrono le giuste condizioni, il rialzo crestale con espansori in combinazione con il carico immediato è una procedura chirurgica affidabile e di grande soddisfazione.


FAQ

Qual è il vantaggio del carico immediato in implantologia orale, specialmente nella zona estetica? Il carico immediato permette di posizionare elementi protesici senza dover attendere lunghi periodi di osteointegrazione, risultando molto conveniente e di grande beneficio estetico fino al secondo premolare.

In che modo la tecnica di espansione apicale contribuisce alla stabilità degli impianti durante un rialzo crestale del seno mascellare? L’espansione apicale favorisce una stabilità sostanziale mediante l’ingaggio della corticale del seno mascellare, garantendo un supporto biomeccanico essenziale per il successo del caricamento immediato.

Quali evidenze radiografiche documentano il successo della procedura di rialzo crestale con impianto a carico immediato? Le radiografie post-operatorie mostrano il sollevamento della corticale del seno e l’osteogenesi peri-implantare, indicando un corretto elevamento del pavimento del seno e una buona formazione ossea attorno all’impianto.

Perché è importante il rispetto del concetto di espansione apicale durante l’inserimento degli impianti? L’espansione apicale garantisce una stabilità biomeccanica duratura e la corretta ingaggio della corticale, imprescindibile per il successo a lungo termine e per permettere un carico immediato sicuro.

Quale ruolo riveste la stabilità meccanica, superiore ai 50 Ncm, nella finalizzazione di un impianto con carico immediato? Una stabilità superiore ai 50 Ncm assicura che l’impianto sia sufficientemente stabile per sostenere la protesi provvisoria, riducendo il rischio di fallimento e favorendo una corretta osteointegrazione.

Domande frequenti

Qual è il vantaggio del carico immediato in implantologia orale, specialmente nella zona estetica?
Il carico immediato permette di posizionare elementi protesici senza dover attendere lunghi periodi di osteointegrazione, risultando molto conveniente e di grande beneficio estetico fino al secondo premolare.
In che modo la tecnica di espansione apicale contribuisce alla stabilità degli impianti durante un rialzo crestale del seno mascellare?
L'espansione apicale favorisce una stabilità sostanziale mediante l'ingaggio della corticale del seno mascellare, garantendo un supporto biomeccanico essenziale per il successo del caricamento immediato.
Quali evidenze radiografiche documentano il successo della procedura di rialzo crestale con impianto a carico immediato?
Le radiografie post-operatorie mostrano il sollevamento della corticale del seno e l'osteogenesi peri-implantare, indicando un corretto elevamento del pavimento del seno e una buona formazione ossea attorno all'impianto.
Perché è importante il rispetto del concetto di espansione apicale durante l'inserimento degli impianti?
L'espansione apicale garantisce una stabilità biomeccanica duratura e la corretta ingaggio della corticale, imprescindibile per il successo a lungo termine e per permettere un carico immediato sicuro.
Quale ruolo riveste la stabilità meccanica, superiore ai 50 Ncm, nella finalizzazione di un impianto con carico immediato?
Una stabilità superiore ai 50 Ncm assicura che l'impianto sia sufficientemente stabile per sostenere la protesi provvisoria, riducendo il rischio di fallimento e favorendo una corretta osteointegrazione.

Cerchi uno specialista?

Implantologia a Frosinone →

Impianti dentali, carico immediato e rigenerazione ossea

Hai bisogno di un parere?

Prenota una visita nello studio del Dr. Bruschi a Frosinone. Prima visita con diagnosi completa e piano di trattamento personalizzato.

Oppure scrivici dal form contatti →

Stai valutando un impianto dentale?

Ho scritto una guida in 8 capitoli che spiega tutto quello che un paziente dovrebbe sapere prima di sedersi in poltrona. Niente marketing — solo fatti, casi studio e una checklist per fare le domande giuste.

Scarica la guida
Condividi:

Resta aggiornato

Nuovi articoli su parodontologia, implantologia e chirurgia orale — nella tua casella email.

Commenti

Caricamento commenti...

Lascia un commento

I commenti sono moderati prima della pubblicazione.